Dias
Επιφανές μέλος
Ο Dias αυτή τη στιγμή δεν είναι συνδεδεμένος. Επαγγέλλεται Φυσικός. Έχει γράψει 10.666 μηνύματα.
28-01-23
19:18
Λυπάμαι μια μάνα που καθημερινά πρέπει να αντιμετωπίζει τα προβλήματα (ή "προβλήματα") υγείας της κόρης της.Εν τω μεταξύ να το λέω και στην μάνα μου και να μου λέει " έτσι πονάνε οι φρονιμίτες, δεν έχεις τίποτα. Έχω τον πόνο μου έχω και την βλακεία της
Εριφύλη
Περιβόητο μέλος
Η Εριφύλη αυτή τη στιγμή είναι συνδεδεμένη. Μας γράφει από Αθήνα (Αττική). Έχει γράψει 6.182 μηνύματα.
28-01-23
19:19
βγάλε έγκλειστο φρονιμίτη και μετά έλα να ειρωνευτείςΛυπάμαι μια μάνα που καθημερινά πρέπει να αντιμετωπίζει τα προβλήματα (ή "προβλήματα") υγείας της κόρης της.
Roulaki
Νεοφερμένο μέλος
Η Roulaki αυτή τη στιγμή δεν είναι συνδεδεμένη. Είναι 27 ετών. Έχει γράψει 55 μηνύματα.
28-01-23
23:36
Άν δεν το περάσεις δεν ξέρεις τί πάει να πει πόνος...
Effort
Εκκολαπτόμενο μέλος
Ο Effort αυτή τη στιγμή δεν είναι συνδεδεμένος. Είναι 29 ετών. Έχει γράψει 306 μηνύματα.
29-01-23
00:17
Αγαπητοί συμφορουμιτες που ταλαιπωρείστε με τους φρόνιμητες (έκανα και στιχακι), διάβασα λίγο στα γρήγορα τι γράψατε. Δεν προλαβαίνω πιο αναλυτικά
.
Γενικά ο φρόνιμητης είναι ζαρια. 2 ίδιους στον πληθυσμό δεν θα βρεις. Τεράστια ποικιλόμορφια, ανατομία, τρόποι εγκλεισης τους και η σχετιζόμενη παθολογία πλούσια που ξεφεύγει από τα όρια του φόρουμ.
Το ότι φαίνεται η μυτούλα του στο στόμα δεν σημαίνει απολύτως τίποτα. Μπορεί να μην ανατείλει ποτέ πλήρως αν δεν έχει χώρο να βγει. Μπορεί να μην θέλει να βγει για χίλιους άλλους δύο λόγους που επίσης δεν είναι του φόρουμ.
Αυτό που προτείνω είναι να πάτε στον οδοντίατρο σας να σας κάνει μια κλινική εξέταση και πιθανώς και μια μικρή ακτινογραφία (περιακροριζικη την λέμε) στην περιοχή. Ο χρυσός κανόνας βέβαια είναι η πανοραμική. Έχοντας αυτά τα στοιχεία θα κρίνει αν χρειάζεται περεταιρω απεικονιστικες εξετάσεις, αν μπορεί να το βγάλει αυτός η αν θα το παραπέμψει σε άνωθεν συναδέλφο του.
Μέχρι να πάτε στον γιατρό σας, προτείνω ήπιο βούρτσισμα την περιοχή, πλυσεις με χαμομήλι η Unisept (στοματικό διάλυμα από φαρμακείο, είναι λίγο ακριβό βέβαια, κάνα 10 ευρώ) αλλά κάνει δουλίτσα. Αφριζει μέσα στο στόμα και μειώνει το μικροβιακο φορτίο. Ήπια αναλγητικα που έχετε ξαναχρησιμοποιησει στο παρελθόν και είστε σίγουρες-οι ότι δεν έχετε αλλεργία. Αντιβιωσεις μην παίρνετε από μόνοι σας. Καλύτερα να σας την δώσει ο γιατρός - οδοντίατρος σας. Ουτως η άλλως συνταγογραφουνται πλέον. Έχει φτάσει και μικροβιακη αντοχή στα ύψη. Σε λίγο θα καταπίνουμε τις κεφαλοσπορινες και τις μακρολιδες σαν καραμέλες έτσι όπως πάει αυτή η χώρα.
Σημεια κλειδιά που καλό είναι να παρακολουθείτε : πυρετός, λεμφαδενιτιδα κάτω από την κάτω γναθος σας, δυσκολία στο άνοιγμα του στόματος, δυσκολία στην κατάποση, πόνος στο φαρυγγα, δυσκολία στην αναπνοή, τρέχουμε γρήγορα στο γιατρό μας. Δεν το αφήνουμε και εξεταστική να έχουμε.
Σας βλέπω μέρες να ταλαιπωρείστε με το θέμα. Αλλά δεν προλάβαινα να γράψω
. Με κυνηγάει και μια εξεταστική.
Ελπίζω να βοήθησα λίγο. Στην διάθεση σας.
Γενικά ο φρόνιμητης είναι ζαρια. 2 ίδιους στον πληθυσμό δεν θα βρεις. Τεράστια ποικιλόμορφια, ανατομία, τρόποι εγκλεισης τους και η σχετιζόμενη παθολογία πλούσια που ξεφεύγει από τα όρια του φόρουμ.
Το ότι φαίνεται η μυτούλα του στο στόμα δεν σημαίνει απολύτως τίποτα. Μπορεί να μην ανατείλει ποτέ πλήρως αν δεν έχει χώρο να βγει. Μπορεί να μην θέλει να βγει για χίλιους άλλους δύο λόγους που επίσης δεν είναι του φόρουμ.
Αυτό που προτείνω είναι να πάτε στον οδοντίατρο σας να σας κάνει μια κλινική εξέταση και πιθανώς και μια μικρή ακτινογραφία (περιακροριζικη την λέμε) στην περιοχή. Ο χρυσός κανόνας βέβαια είναι η πανοραμική. Έχοντας αυτά τα στοιχεία θα κρίνει αν χρειάζεται περεταιρω απεικονιστικες εξετάσεις, αν μπορεί να το βγάλει αυτός η αν θα το παραπέμψει σε άνωθεν συναδέλφο του.
Μέχρι να πάτε στον γιατρό σας, προτείνω ήπιο βούρτσισμα την περιοχή, πλυσεις με χαμομήλι η Unisept (στοματικό διάλυμα από φαρμακείο, είναι λίγο ακριβό βέβαια, κάνα 10 ευρώ) αλλά κάνει δουλίτσα. Αφριζει μέσα στο στόμα και μειώνει το μικροβιακο φορτίο. Ήπια αναλγητικα που έχετε ξαναχρησιμοποιησει στο παρελθόν και είστε σίγουρες-οι ότι δεν έχετε αλλεργία. Αντιβιωσεις μην παίρνετε από μόνοι σας. Καλύτερα να σας την δώσει ο γιατρός - οδοντίατρος σας. Ουτως η άλλως συνταγογραφουνται πλέον. Έχει φτάσει και μικροβιακη αντοχή στα ύψη. Σε λίγο θα καταπίνουμε τις κεφαλοσπορινες και τις μακρολιδες σαν καραμέλες έτσι όπως πάει αυτή η χώρα.
Σημεια κλειδιά που καλό είναι να παρακολουθείτε : πυρετός, λεμφαδενιτιδα κάτω από την κάτω γναθος σας, δυσκολία στο άνοιγμα του στόματος, δυσκολία στην κατάποση, πόνος στο φαρυγγα, δυσκολία στην αναπνοή, τρέχουμε γρήγορα στο γιατρό μας. Δεν το αφήνουμε και εξεταστική να έχουμε.
Σας βλέπω μέρες να ταλαιπωρείστε με το θέμα. Αλλά δεν προλάβαινα να γράψω
Ελπίζω να βοήθησα λίγο. Στην διάθεση σας.
Εριφύλη
Περιβόητο μέλος
Η Εριφύλη αυτή τη στιγμή είναι συνδεδεμένη. Μας γράφει από Αθήνα (Αττική). Έχει γράψει 6.182 μηνύματα.
30-01-23
22:55
Εγώ έκλεισα για την Τετάρτη να το δει. Κάτι άλλο. Αν όντως πρέπει να βγει, τι αναισθησία σου βάζει; Τοπική; Και αυτό πάει ανάλογα με τα κιλά; Να ζυγιστω πριν τον οδοντίατρο αν είναιΑγαπητοί συμφορουμιτες που ταλαιπωρείστε με τους φρόνιμητες (έκανα και στιχακι), διάβασα λίγο στα γρήγορα τι γράψατε. Δεν προλαβαίνω πιο αναλυτικά.
Γενικά ο φρόνιμητης είναι ζαρια. 2 ίδιους στον πληθυσμό δεν θα βρεις. Τεράστια ποικιλόμορφια, ανατομία, τρόποι εγκλεισης τους και η σχετιζόμενη παθολογία πλούσια που ξεφεύγει από τα όρια του φόρουμ.
Το ότι φαίνεται η μυτούλα του στο στόμα δεν σημαίνει απολύτως τίποτα. Μπορεί να μην ανατείλει ποτέ πλήρως αν δεν έχει χώρο να βγει. Μπορεί να μην θέλει να βγει για χίλιους άλλους δύο λόγους που επίσης δεν είναι του φόρουμ.
Αυτό που προτείνω είναι να πάτε στον οδοντίατρο σας να σας κάνει μια κλινική εξέταση και πιθανώς και μια μικρή ακτινογραφία (περιακροριζικη την λέμε) στην περιοχή. Ο χρυσός κανόνας βέβαια είναι η πανοραμική. Έχοντας αυτά τα στοιχεία θα κρίνει αν χρειάζεται περεταιρω απεικονιστικες εξετάσεις, αν μπορεί να το βγάλει αυτός η αν θα το παραπέμψει σε άνωθεν συναδέλφο του.
Μέχρι να πάτε στον γιατρό σας, προτείνω ήπιο βούρτσισμα την περιοχή, πλυσεις με χαμομήλι η Unisept (στοματικό διάλυμα από φαρμακείο, είναι λίγο ακριβό βέβαια, κάνα 10 ευρώ) αλλά κάνει δουλίτσα. Αφριζει μέσα στο στόμα και μειώνει το μικροβιακο φορτίο. Ήπια αναλγητικα που έχετε ξαναχρησιμοποιησει στο παρελθόν και είστε σίγουρες-οι ότι δεν έχετε αλλεργία. Αντιβιωσεις μην παίρνετε από μόνοι σας. Καλύτερα να σας την δώσει ο γιατρός - οδοντίατρος σας. Ουτως η άλλως συνταγογραφουνται πλέον. Έχει φτάσει και μικροβιακη αντοχή στα ύψη. Σε λίγο θα καταπίνουμε τις κεφαλοσπορινες και τις μακρολιδες σαν καραμέλες έτσι όπως πάει αυτή η χώρα.
Σημεια κλειδιά που καλό είναι να παρακολουθείτε : πυρετός, λεμφαδενιτιδα κάτω από την κάτω γναθος σας, δυσκολία στο άνοιγμα του στόματος, δυσκολία στην κατάποση, πόνος στο φαρυγγα, δυσκολία στην αναπνοή, τρέχουμε γρήγορα στο γιατρό μας. Δεν το αφήνουμε και εξεταστική να έχουμε.
Σας βλέπω μέρες να ταλαιπωρείστε με το θέμα. Αλλά δεν προλάβαινα να γράψω. Με κυνηγάει και μια εξεταστική.
Ελπίζω να βοήθησα λίγο. Στην διάθεση σας.![]()
Effort
Εκκολαπτόμενο μέλος
Ο Effort αυτή τη στιγμή δεν είναι συνδεδεμένος. Είναι 29 ετών. Έχει γράψει 306 μηνύματα.
31-01-23
00:45
Εγώ έκλεισα για την Τετάρτη να το δει. Κάτι άλλο. Αν όντως πρέπει να βγει, τι αναισθησία σου βάζει; Τοπική; Και αυτό πάει ανάλογα με τα κιλά; Να ζυγιστω πριν τον οδοντίατρο αν είναι![]()
Ναι τοπικη αναισθησία.
Αν πρόκειται για πάνω φρόνιμητη μουδιάζει το μάγουλο ψηλά και ο ουρανίσκος.
Αν πρόκειται για κάτω, μουδιάζει η μισή γλώσσα, το χείλος και το μάγουλο (λιγότερο το μάγουλο) στην ίδια μέρια για κάποιες ώρες. Τα κιλά δεν παίζουν τόσο ρολο στην τοπική αναισθησία όπου η έγχυση γίνεται τοπικά. Αφορούν την χορήγηση φαρμάκων από άλλες οδους όπως πχ. ενδοφλέβια χορήγηση αναισθησίας και αλλού είδους χειρουργεία.
Χρειάζεται να ξέρεις απλά το ιστορικό σου. Δηλαδή τι φάρμακα παίρνεις γενικά για άλλους λόγους, τι συνοδα προβλήματα υγείας έχεις, αν έχεις αλλεργίες σε κάποια η κάποιες ουσία-ες.
Εριφύλη
Περιβόητο μέλος
Η Εριφύλη αυτή τη στιγμή είναι συνδεδεμένη. Μας γράφει από Αθήνα (Αττική). Έχει γράψει 6.182 μηνύματα.
31-01-23
01:07
το ιστορικό μου το ξέρει, είναι οικογενειακός γιατρόςΝαι τοπικη αναισθησία.
Αν πρόκειται για πάνω φρόνιμητη μουδιάζει το μάγουλο ψηλά και ο ουρανίσκος.
Αν πρόκειται για κάτω, μουδιάζει η μισή γλώσσα, το χείλος και το μάγουλο (λιγότερο το μάγουλο) στην ίδια μέρια για κάποιες ώρες. Τα κιλά δεν παίζουν τόσο ρολο στην τοπική αναισθησία όπου η έγχυση γίνεται τοπικά. Αφορούν την χορήγηση φαρμάκων από άλλες οδους όπως πχ. ενδοφλέβια χορήγηση αναισθησίας και αλλού είδους χειρουργεία.
Χρειάζεται να ξέρεις απλά το ιστορικό σου. Δηλαδή τι φάρμακα παίρνεις γενικά για άλλους λόγους, τι συνοδα προβλήματα υγείας έχεις, αν έχεις αλλεργίες σε κάποια η κάποιες ουσία-ες.
![]()
Nelliel
Περιβόητο μέλος
Η Nelliel αυτή τη στιγμή δεν είναι συνδεδεμένη. Μας γράφει από Αθήνα (Αττική). Έχει γράψει 4.061 μηνύματα.
31-01-23
07:56
Έμεναν μου εκαναν και μέθη, δεν κατάλαβα Χριστό
Σε 3 μέρες έτρωγα ψητό κοτόπουλο.
Εριφύλη
Περιβόητο μέλος
Η Εριφύλη αυτή τη στιγμή είναι συνδεδεμένη. Μας γράφει από Αθήνα (Αττική). Έχει γράψει 6.182 μηνύματα.
12-04-23
13:50
Πήγα οδοντίατρο να δει τον φρονιμίτη και μου είπε να κάνω πανοραμική. Και αν είναι εγκλωβισμένος θα κάνω χειρουργείο.
Ε θα πεθάνω, δεν μπορώ με τα δόντια φοβάμαι πάρα πολύ
Δεν με έχει πονέσει ποτέ δόντι και δεν ξέρω πως θα είναι όλο αυτό
Ε θα πεθάνω, δεν μπορώ με τα δόντια φοβάμαι πάρα πολύ
Δεν με έχει πονέσει ποτέ δόντι και δεν ξέρω πως θα είναι όλο αυτό
allall1
Πολύ δραστήριο μέλος
Ο Bilbo αυτή τη στιγμή δεν είναι συνδεδεμένος. Επαγγέλλεται Μαέστρος. Έχει γράψει 822 μηνύματα.
12-04-23
13:59
Εμενα ηταν ημιεγκλειστος ο φρονιμιτης και μαλιστα εσπρωχνε τα μπροστα δοντια κ υπηρξε κινδυνος καταστροφης τους.Να σημειωσω εδω οτι ουδεποτε εμφανισα πονο εξαιτιας του φρονιμιτη.Μου το ανεφερε η οδοντιατρος οταν πηγα για αλλο θεμα.Εγινε συσταση για πανοραμικη.Εκανε ενα 80δαρι νομιζω.Ο ιατρος που με εξυπηρετησε εκανε διπλη αναισθησια στο ενα ουλο κ υστερα η διαδικασια κρατησε 15 λεπτα το πολυ.Οταν τον εβγαλε ηταν σαν αγκιστρι ο φρονιμιτης.Χρειαστηκε να τον τεμαχισει σε κομματια ωστε να βγει με μεγαλυτερη ασφαλεια.Πονος μηδεν,ουτε και μετα την επεμβαση.Το μονο αρνητικο ειναι το πρησμενο προσωπο που σε δυσκολευει στις κινησεις μασησης κ καταποσης.
Εριφύλη
Περιβόητο μέλος
Η Εριφύλη αυτή τη στιγμή είναι συνδεδεμένη. Μας γράφει από Αθήνα (Αττική). Έχει γράψει 6.182 μηνύματα.
12-04-23
14:18
ΤΙ; πρήζεται το πρόσωπο;;Εμενα ηταν ημιεγκλειστος ο φρονιμιτης και μαλιστα εσπρωχνε τα μπροστα δοντια κ υπηρξε κινδυνος καταστροφης τους.Να σημειωσω εδω οτι ουδεποτε εμφανισα πονο εξαιτιας του φρονιμιτη.Μου το ανεφερε η οδοντιατρος οταν πηγα για αλλο θεμα.Εγινε συσταση για πανοραμικη.Εκανε ενα 80δαρι νομιζω.Ο ιατρος που με εξυπηρετησε εκανε διπλη αναισθησια στο ενα ουλο κ υστερα η διαδικασια κρατησε 15 λεπτα το πολυ.Οταν τον εβγαλε ηταν σαν αγκιστρι ο φρονιμιτης.Χρειαστηκε να τον τεμαχισει σε κομματια ωστε να βγει με μεγαλυτερη ασφαλεια.Πονος μηδεν,ουτε και μετα την επεμβαση.Το μονο αρνητικο ειναι το πρησμενο προσωπο που σε δυσκολευει στις κινησεις μασησης κ καταποσης.
τι εννοείς καταστροφή των άλλων δοντιών; Υπάρχει περίπτωση να έχει γίνει ζημιά;
Αυτόματη ένωση συνεχόμενων μηνυμάτων:
Εμένα δεν είναι έγκλειστος, μάλλον είναι ημιεγκλειστος γιατί έχει βγει μια μυτούλαΤΙ; πρήζεται το πρόσωπο;;
τι εννοείς καταστροφή των άλλων δοντιών; Υπάρχει περίπτωση να έχει γίνει ζημιά;
allall1
Πολύ δραστήριο μέλος
Ο Bilbo αυτή τη στιγμή δεν είναι συνδεδεμένος. Επαγγέλλεται Μαέστρος. Έχει γράψει 822 μηνύματα.
12-04-23
17:52
Ο φρονιμίτης μου δεν ήταν κάθετος προς τα από κάτω δόντια αλλά είχε κατεύθυνση προς τα έξω (στόμα)ή πιο απλά ήταν σαν να έσπρωχνε τα μπροστά δόντια,στραβά μεγάλωσε δηλαδή.Η ζημιά στα μπροστινά δόντια δημιουργείται καθώς ο φρονιμίτης ανατέλλει(βγαίνει) σιγά σιγά κ σπρώχνει τα δόντια όλα κ περισσότερο.Η οδοντίατρος μου είπε αν το άφηνα θα νεκρωναν τα μπροστινά από τον φρονιμίτη δόντια.ΤΙ; πρήζεται το πρόσωπο;;
τι εννοείς καταστροφή των άλλων δοντιών; Υπάρχει περίπτωση να έχει γίνει ζημιά;
Αυτόματη ένωση συνεχόμενων μηνυμάτων:
Εμένα δεν είναι έγκλειστος, μάλλον είναι ημιεγκλειστος γιατί έχει βγει μια μυτούλο
Το πρόσωπο πρήζεται εξαιτίας της φλεγμονής καθώς ο οργανισμός σου προσπαθεί να αντιμετωπίσει την πληγή που δημιουργήθηκε.ΤΙ; πρήζεται το πρόσωπο;;
τι εννοείς καταστροφή των άλλων δοντιών; Υπάρχει περίπτωση να έχει γίνει ζημιά;
Αυτόματη ένωση συνεχόμενων μηνυμάτων:
Εμένα δεν είναι έγκλειστος, μάλλον είναι ημιεγκλειστος γιατί έχει βγει μια μυτούλα
Εριφύλη
Περιβόητο μέλος
Η Εριφύλη αυτή τη στιγμή είναι συνδεδεμένη. Μας γράφει από Αθήνα (Αττική). Έχει γράψει 6.182 μηνύματα.
12-04-23
17:55
Εγώ δεν μπορώ να καταλάβω πώς βγαίνει. Βγαίνει στραβά, αλλά έχει βγει μια μυτούλα.. τέλος πάντων, θα κάνω πανοραμική και θα δω. Αν και δεν νομίζω να έχει κάνει ζημιά γιατί δεν με πονάει καν τώραΟ φρονιμίτης μου δεν ήταν κάθετος προς τα από κάτω δόντια αλλά είχε κατεύθυνση προς τα έξω (στόμα)ή πιο απλά ήταν σαν να έσπρωχνε τα μπροστά δόντια,στραβά μεγάλωσε δηλαδή.Η ζημιά στα μπροστινά δόντια δημιουργείται καθώς ο φρονιμίτης ανατέλλει(βγαίνει) σιγά σιγά κ σπρώχνει τα δόντια όλα κ περισσότερο.Η οδοντίατρος μου είπε αν το άφηνα θα νεκρωναν τα μπροστινά από τον φρονιμίτη δόντια.
Το πρόσωπο πρήζεται εξαιτίας της φλεγμονής καθώς ο οργανισμός σου προσπαθεί να αντιμετωπίσει την πληγή που δημιουργήθηκε.
allall1
Πολύ δραστήριο μέλος
Ο Bilbo αυτή τη στιγμή δεν είναι συνδεδεμένος. Επαγγέλλεται Μαέστρος. Έχει γράψει 822 μηνύματα.
12-04-23
17:58
Άλλο τι βλέπεις κ άλλο το τι γινεται μέσα στο ούλο.Τα δόντια δεν είναι μόνο οι κορυφές που είναι ορατές σε εμάς.Επισης όταν εμφανιστεί ο πόνος σήμαινε ότι η κατάσταση είναι προχωρημενη
Εριφύλη
Περιβόητο μέλος
Η Εριφύλη αυτή τη στιγμή είναι συνδεδεμένη. Μας γράφει από Αθήνα (Αττική). Έχει γράψει 6.182 μηνύματα.
12-04-23
17:59
ναι αλλά λέω ότι δεν νομίζω να έχει κάνει ζημιά, γιατί πέρυσι άρχισε να βγαίνει.. εδώ άλλοι τους έχουν 10 χρόνια και δεν παθαίνουν τίποταΆλλο τι βλέπεις κ άλλο το τι γινεται μέσα στο ούλο.Τα δόντια δεν είναι μόνο οι κορυφές που είναι ορατές σε εμάς.Επισης όταν εμφανιστεί ο πόνος σήμαινε ότι η κατάσταση είναι προχωρημενη
Αυτόματη ένωση συνεχόμενων μηνυμάτων:
Και δεν έχω καταλάβει, αυτό στο βγάζει εντελώς ή προσπαθεί να το τραβήξει για να κάνει χώρο να βγει;ναι αλλά λέω ότι δεν νομίζω να έχει κάνει ζημιά, γιατί πέρυσι άρχισε να βγαίνει.. εδώ άλλοι τους έχουν 10 χρόνια και δεν παθαίνουν τίποτα
allall1
Πολύ δραστήριο μέλος
Ο Bilbo αυτή τη στιγμή δεν είναι συνδεδεμένος. Επαγγέλλεται Μαέστρος. Έχει γράψει 822 μηνύματα.
12-04-23
18:01
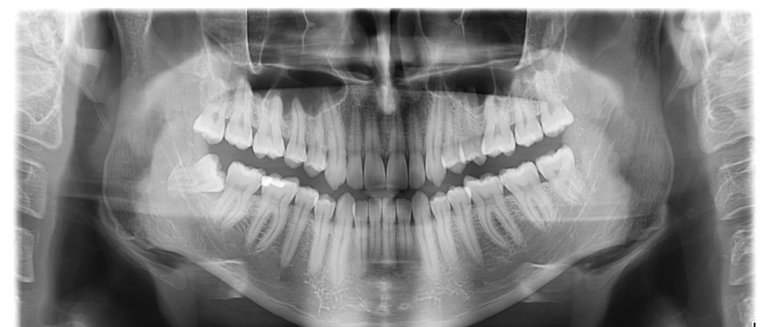
Η πανοραμική μου,κάτω αριστερά ο φρονιμοτης
Εριφύλη
Περιβόητο μέλος
Η Εριφύλη αυτή τη στιγμή είναι συνδεδεμένη. Μας γράφει από Αθήνα (Αττική). Έχει γράψει 6.182 μηνύματα.
12-04-23
18:04
Αχ και εμένα αυτός είναι.. εσύ πόσο καιρό το είχες ημιεγκλειστο πριν το βγάλεις;View attachment 114558
Η πανοραμική μου,κάτω αριστερά ο φρονιμοτης
Nelliel
Περιβόητο μέλος
Η Nelliel αυτή τη στιγμή δεν είναι συνδεδεμένη. Μας γράφει από Αθήνα (Αττική). Έχει γράψει 4.061 μηνύματα.
12-04-23
20:31
Και εμένα κάπως έτσι ήταν αλλά λίγο πιο οριζόντιοι. Εγώ τους είχα αρκετά χρόνια έτσι, δεν μου προκάλεσαν θέμα πέρα από pockets 10+ χιλιοστών και τους έβγαλα για αυτόν τον λόγο γιατί θα πάθαινα περιοδοντίτιδα. Αν θυμάμαι καλά πήρε 45 λεπτά να βγάλει 2 έγκλειστους και 2 κανονικούς. Δεν είχα πρήξιμο γιατί μου έδωσε dexamethasoneΑχ και εμένα αυτός είναι.. εσύ πόσο καιρό το είχες ημιεγκλειστο πριν το βγάλεις;
Εριφύλη
Περιβόητο μέλος
Η Εριφύλη αυτή τη στιγμή είναι συνδεδεμένη. Μας γράφει από Αθήνα (Αττική). Έχει γράψει 6.182 μηνύματα.
12-04-23
20:41
Εγώ έναν έγκλειστο έχω, αυτόν. Απ' ότι βλέπω τα άλλα έχουν βγει κανονικά..Και εμένα κάπως έτσι ήταν αλλά λίγο πιο οριζόντιοι. Εγώ τους είχα αρκετά χρόνια έτσι, δεν μου προκάλεσαν θέμα πέρα από pockets 10+ χιλιοστών και τους έβγαλα για αυτόν τον λόγο γιατί θα πάθαινα περιοδοντίτιδα. Αν θυμάμαι καλά πήρε 45 λεπτά να βγάλει 2 έγκλειστους και 2 κανονικούς. Δεν είχα πρήξιμο γιατί μου έδωσε dexamethasone
Φοβάμαι μη δημιούργησε πρόβλημα και στα άλλα.. αν και δεν νομίζω ρε συ, πέρυσι ξεμυτισε
Nelliel
Περιβόητο μέλος
Η Nelliel αυτή τη στιγμή δεν είναι συνδεδεμένη. Μας γράφει από Αθήνα (Αττική). Έχει γράψει 4.061 μηνύματα.
12-04-23
20:49
Δε νομίζω, εγώ τους είχα έτσι για 5-10 χρόνια; Τέλος πάντων για πολύ καιρό!Εγώ έναν έγκλειστο έχω, αυτόν. Απ' ότι βλέπω τα άλλα έχουν βγει κανονικά..
Φοβάμαι μη δημιούργησε πρόβλημα και στα άλλα.. αν και δεν νομίζω ρε συ, πέρυσι ξεμυτισε
Χρήστες Βρείτε παρόμοια
-
Τα παρακάτω 0 μέλη και 1 επισκέπτες διαβάζουν μαζί με εσάς αυτό το θέμα:Tα παρακάτω 118 μέλη διάβασαν αυτό το θέμα:
- Wonderkid
- ougka pougka
- teacher_40
- johnsala
- naturale
- Kate1914
- Εριφύλη
- touvlo
- iew
- Scandal
- eukleidhs1821
- Luludaki
- gademis
- gregory nub
- AggelikiGr
- giannhs2001
- Μήτσος10
- American Economist
- fourkaki
- rafaela11
- ROM32
- xristarac
- Γατέχων
- χημεια4λαιφ
- taketrance
- Μαρια30
- Jack of Spades
- Ariana2018
- Ωρορα
- jj!
- fmarulezkd
- Joji
- Ilma
- charmander
- P.Dam.
- kalhkardia
- allall1
- camil
- spring day
- Unboxholics
- Roulaki
- lepipini
- Meow
- tsiobieman
- User2350
- Εχέμυθη
- J.Cameron
- Memetchi
- louminis
- CiNeFiL
- Viedo
- me lene
- Libertus
- Jocaste
-
Φορτώνει...
-
Το forum μας χρησιμοποιεί cookies για να βελτιστοποιήσει την εμπειρία σας.
Συνεχίζοντας την περιήγησή σας, συναινείτε στη χρήση cookies στον περιηγητή σας.
Αρχική Forum
Νέα Δημοσίευση
Προσωπικές Συζητήσεις
Πολυμέσα - Gallery
Συνδεδεμένοι Χρήστες
Λίστα Αποκλεισμένων
Υπεύθυνοι του Forum
Chat and Fun
iSchool
